Anmelden
Gallery MeineGemeinde Feldkirch Fusionierte Bilder pet.jpg
Erweiterte Suche
Diashow ansehen Download Photo (1024 x 1024) Download Photo (390 x 390) RSS-Feeds für dieses Photo

Fusionierte Bilder

1. assetViewer... 2. pof107art24... 3. IN20081003-... 4. PE1170-05.jpg 5. pet.jpg 6. pet_ct1.jpg 7. PET_CT.jpg 8. PET-CT-Fusi... ... 10. 047_04_CTI.jpg

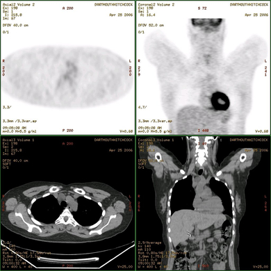
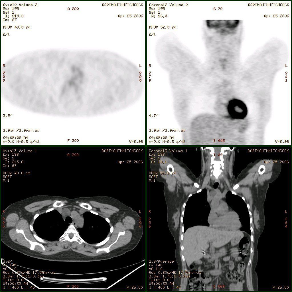
oben: PET
unten: CT

Datum: 04.10.2009
Größe:
Vollgröße: 1024x1024
nächsteletzte
erste vorherige
pet.jpg
nächsteletzte
erste vorherige
Powered by Gallery v2.3