Anmelden
Gallery MeineGemeinde Bregenz Einblicke in die Lunge
Erweiterte Suche
Diashow ansehen RSS-Feeds für dieses Album

Bregenz

1. Sommerturnier ... 41. Tiefbauarbe... 42. Integra -... 43. Hobbykünstl... 44. Einblicke... 45. Titel des... 46. Test 47. Sommerausst... ... 8417. Museumswelt...

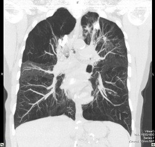
Einblicke in die Lunge

Beschreibung:
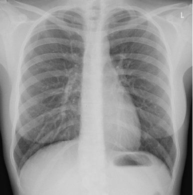
0: Lungenröntgen p.a.
1: Lungenfunktionstest
2: coronares CT Schnittbild
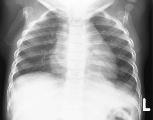
3: Lungenröntgen eines Neugeborenen
4: Körperschnitt in Höhe der Lunge
5: Lungenröntgen seitlich
6: Computertomographie ohne Kontrastmittel
7: Pulmonalembolie CT- Gefäße sind hier mit Kontrastmittel gefüllt
8: Modell eines Brustkorbes
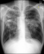
9: Lungenröntgen mit ausgeprägter Tuberkulose

Datum: 09.09.2009
Besitzer: NOIZ
Größe: 8 Elemente
thoraxu.jpg
Download Photo (386 x 390)
Datum: 09.09.2009
Betrachtungen: 46
thoraxu _1_.jpg
Download Photo (420 x 390)
Datum: 09.09.2009
Betrachtungen: 46
thoraxu _2_.jpg
Download Photo (308 x 293)
Datum: 09.09.2009
Betrachtungen: 69
thoraxu _3_.jpg
Download Photo (497 x 390)
Datum: 25.06.2004
Betrachtungen: 49
thoraxu _6_.jpg
Download Photo (400 x 345)
Datum: 10.12.2008
Betrachtungen: 62
thoraxu _7_.jpg
Download Photo (390 x 390)
Datum: 09.09.2009
Betrachtungen: 69
thoraxu _8_.jpg
Download Photo (290 x 352)
Datum: 09.09.2009
Betrachtungen: 44
thoraxu _9_.jpg
Download Photo (180 x 221)
Datum: 09.09.2009
Betrachtungen: 51
 
Seite: 1
Powered by Gallery v2.3